Specializzazioni
Un bravo chirurgo ha occhi di falco,
cuor di leone e mano di fata

Implantologia
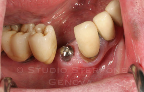
L’impianto non è altro che una vite che viene inserita nell’osso e funge da radice artificiale e che consente di sostituire in tutta la sua struttura (radice + corona) un dente perduto. Può essere usato per sostituire un dente singolo o, insieme ad altri impianti, per fare un ponte di più elementi, fino a tutta un’arcata.
La vite è realizzata in titanio puro, un materiale assolutamente biocompatibile: non provoca alcun genere di reazione allergica o di rigetto perché non viene inquadrato dal nostro organismo come “intruso”; viene sottoposto a rigidi processi di sterilizzazione industriale e commercializzato in astucci ermetici che vanno aperti solo immediatamente prima di essere inseriti nell’osso.
Implantologia

L’impianto non è altro che una vite che viene inserita nell’osso e funge da radice artificiale e che consente di sostituire in tutta la sua struttura (radice + corona) un dente perduto. Può essere usato per sostituire un dente singolo o, insieme ad altri impianti, per fare un ponte di più elementi, fino a tutta un’arcata.
La vite è realizzata in titanio puro, un materiale assolutamente biocompatibile: non provoca alcun genere di reazione allergica o di rigetto perché non viene inquadrato dal nostro organismo come “intruso”; viene sottoposto a rigidi processi di sterilizzazione industriale e commercializzato in astucci ermetici che vanno aperti solo immediatamente prima di essere inseriti nell’osso.



Implantologia tradizionale
Dopo la chirurgia è necessario attendere un tempo variabile fra i 3 ed i 6 mesi (in relazione al tipo di osso, alla salute generale e altri fattori del paziente) prima di mettere la protesi definitiva (il vero e proprio dente) durante i quali si consente l’osteointegrazione, cioè una guarigione dell’osso in intimo contatto con l’impianto.
Al termine della riabilitazione, con le protesi definitive, il confort sarà pari a quello dato da una dentatura naturale.
L’impianto è come un dente naturale, e in quanto tale richiede una periodica manutenzione attraverso visite di controllo e sedute di igiene professionale. Solo una adeguata cura può consentire di conservare nel tempo la salute riconquistata!
Implantologia a Carico Immediato
Con il termine “Implantologia a carico immediato” si indica una tecnica grazie alla quale è possibile fissare sopra gli impianti le corone provvisorie o la dentiera provvisoria in una sola seduta o al massimo entro 48 ore dall’intervento di inserimento dell’impianto.
Tale procedura porta notevoli vantaggi ai pazienti:
- in termini di tempo, di funzionalità e di resa estetica
- ha risultati predicibili nel tempo e riduce il disagio dei tempi di guarigione
- è un validissimo ausilio quando è necessario rimettere denti del gruppo anteriore e restituire quanto prima una confortevole estetica al paziente.
Quando si fa il Carico immediato l’osso non è consolidato: si tratta di una tecnica chirurgica e protesica speciale che ha indicazioni precise e quindi non può essere proposto indifferentemente a tutti o in tutte le situazioni.
Implantologia Post Estrattiva
La scelta di inserire l’impianto stesso direttamente nell’alveolo post-estrattivo ci offre il vantaggio di preservare l’armonia e l’integrità dei tessuti gengivali esistenti.
Posizionare un impianto post-estrattivo è sicuramente dal punto di vista tecnico molto più difficile che posizionarlo in una situazione normale.
Questa opzione offre ad un esperto chirurgo implantologo la possibilità di ancorare l’impianto in un osso di qualità molto buona e di evitare il riassorbimento osseo che si avrebbe durante la guarigione dall’estrazione
In questa maniera si riducono il numero degli interventi chirurgici ed i tempi di riabilitazione, si possono accorciare i tempi del trattamento e conservare al meglio l’osso e la gengiva che circondavano il dente naturale.
Non sempre è possibile: non si può fare l’impianto post-estrattivo se ci sono infezioni (granulomi, ascessi, tasche parodontali, ecc.) e quindi osso e gengive non sono sani, oppure se la quantità di osso che rimane dopo l’estrazione è insufficiente sia dal punto di vista quantitativo (poco osso) che qualitativo (osso malato o morbido).




Grandi riabilitazioni implantari
È possibile riabilitare tutta la mascella o la mandibola con svariate tecniche inserendo dai 4 agli 8 impianti per arcata, inferiore o superiore. A seconda della quantità e qualità di osso evidenziata dalle immagini della TAC dentale il Dottore sceglierà quali e quanti impianti inserire. Se la tenuta delle viti è buona, è possibile realizzare una protesi provvisoria fissa chiamata “All on four”, “Toronto Bridge” oppure “Columbus Bridge” a seconda del numero degli impianti e del modo in cui essa viene realizzata. Se la tenuta non è buona bisogna far guarire l’osso e gli impianti e costruire una protesi provvisoria mobile che verrà usata dai 4 ai 6 mesi.
Se tutto va bene (nel 90% dei casi è fattibile) si recupera quindi il sorriso e la masticazione in sole 36-48 ore, grazie alle protesi fisse provvisorie che vengono infatti avvitate subito sugli impianti, a distanza di un paio di giorni (necessari per poter togliere i punti di sutura e il riassorbimento dell’edema) senza attendere i canonici 3-6 mesi di osteointegrazione completa. Dopo 6 mesi si realizza la protesi definitiva di un materiale solitamente più ricercato e durevole e si termina quindi il lavoro.




Chirurgia Orale
Sappiamo bene che la parola chirurgia non è piacevole per i pazienti, per questo offriamo tutte le competenze che possono aiutarvi a vivere una esperienza serena:
- esperienza chirurgica
- aggiornamento continuo
- destrezza manuale (capacità tecniche e destrezza per portare a termine un’operazione velocemente e in sicurezza)
- l’approccio etico verso gli interessi del paziente
- l’empatia per comprendervi e mettervi a vostro agio
Senza dimenticare che un bravo chirurgo deve:
- avere il giusto coraggio, trovandosi spesso chiamato a reagire con decisione anche in circostanze difficili
- saper essere veloce quando ciò è sicuro, e riflessivo durante le fasi critiche dell’intervento
Nel nostro Studio Dentistico effettuiamo tutti gli interventi di chirurgia orale in anestesia locale e con la sedazione cosciente con protossido d’azoto, se necessario; esiste anche la possibilità di essere operati in sedazione profonda gestita da un anestesista in casi particolari.
Con le tecniche e gli anestetici moderni questi interventi di chirurgia orale una volta ritenuti dolorosi e spiacevoli si possono eseguire in modo assolutamente indolore e non traumatico.

Chirurgia orale
- Estrazioni dentarie (denti e radici): denti o radici distrutti da processi cariosi e infettivi che non è possibile trattare in altra maniera
- Incisione di ascessi
- Estrazione di denti del giudizio
- Interventi su denti del giudizio inclusi ed in disodontiasi
- Scopertura di denti inclusi a scopo ortodontico (canini inclusi)
- Rimozione di cisti
- Apicectomia (asportazione dell’apice di un dente coinvolto in processi infiammatori come un granuloma)
- Gengivectomia, in caso di gengive ipertrofiche
- Frenulectomia, labiale e linguale
- Rimozione di piccole neoformazioni con invio ai laboratori analisi e biopsie
Chirurgia di innesto osseo per implantologia
- Rialzo del seno mascellare
- Mini rialzo del seno mascellare
- Innesti di osso
- Griglie di titanio
- Membrane riassorbibili-non riassorbibili


- Rialzo del seno mascellare
- Mini rialzo del seno mascellare
- Innesti di osso
- Griglie di titanio
- Membrane riassorbibili-non riassorbibili
Edodonzia & Odontoiatria Conservativa
Edodonzia & Odontoiatria Conservativa

Edodonzia
La devitalizzazione dei denti si pratica quando una lesione causata da una carie o da un trauma intacca irreversibilmente un nervo del dente fino a provocarne la sofferenza o la morte.
Spesso occorre ricorrervi anche quando un dente è coinvolto nelle riabilitazioni protesiche in quanto, riducendosi il tessuto dentale, si verificherebbe comunque un’alterazione irreversibile del nervo. Se il dente non viene curato, l’infezione si diffonde all’osso in cui il dente è inserito provocando granulomi o ascessi.
È anche detta “cura canalare” perché è la cura dei canali radicolari del dente, che prevede la rimozione della polpa dentaria (infiammata o infettata) e la disinfezione dei canali, che poi devono essere sigillati per evitare che i batteri vi possano proliferare.
Il trattamento canalare è oggi assolutamente indolore, grazie all’ uso dei moderni anestetici locali, può richiedere da 1 seduta a 2 o 3 sedute per denti anatomicamente più complessi (molari con 3 o 4 canali) o particolari situazioni patologiche (denti necrotici, ascessi, ecc.).
Presso il nostro studio utilizziamo i migliori strumenti Giapponesi “Morita™” per avere una garanzia di successo a breve e lungo termine e diminuire le problematiche date dalle cure canalari, come ad esempio le fratture degli strumenti endodontici che con il motore con movimento reciprocante si eliminano quasi totalmente.
Edodonzia
La devitalizzazione dei denti si pratica quando una lesione causata da una carie o da un trauma intacca irreversibilmente un nervo del dente fino a provocarne la sofferenza o la morte.
Spesso occorre ricorrervi anche quando un dente è coinvolto nelle riabilitazioni protesiche in quanto, riducendosi il tessuto dentale, si verificherebbe comunque un’alterazione irreversibile del nervo. Se il dente non viene curato, l’infezione si diffonde all’osso in cui il dente è inserito provocando granulomi o ascessi.
È anche detta “cura canalare” perché è la cura dei canali radicolari del dente, che prevede la rimozione della polpa dentaria (infiammata o infettata) e la disinfezione dei canali, che poi devono essere sigillati per evitare che i batteri vi possano proliferare.
Il trattamento canalare è oggi assolutamente indolore, grazie all’ uso dei moderni anestetici locali, può richiedere da 1 seduta a 2 o 3 sedute per denti anatomicamente più complessi (molari con 3 o 4 canali) o particolari situazioni patologiche (denti necrotici, ascessi, ecc.).
Presso il nostro studio utilizziamo i migliori strumenti Giapponesi “Morita™” per avere una garanzia di successo a breve e lungo termine e diminuire le problematiche date dalle cure canalari, come ad esempio le fratture degli strumenti endodontici che con il motore con movimento reciprocante si eliminano quasi totalmente.

Odontoiatria Conservativa
Si va dalle cure preventive (sigillature dei solchi e dei pozzetti), alla terapia delle decalcificazioni iniziali dello smalto (così da proteggere i denti dalla carie vera e propria), alle otturazioni piccole, medie o grandi, alle grosse ricostruzioni di denti gravemente danneggiati (oltre le quali si sconfina nel campo della protesi con le capsule). Completano le cure conservative le ricostruzioni di tipo estetico degli incisivi che hanno subito traumi (fratture) che vanno dalle piccole ricostruzioni del margine incisale alle grosse ricostruzioni a faccetta in composito che interessano appunto tutta la faccia esterna del dente (ultima possibilità della conservativa prima di passare a faccette o capsule in porcellana, quindi alla protesi).
Nel nostro Studio Odontoiatrico per le otturazioni utilizziamo i migliori compositi (materiali estetici bianchi) che uniscono alle tipiche peculiarità estetiche elevate doti meccaniche di adesione al dente e di alta resistenza; per le ricostruzioni estetiche utilizziamo materiali appositi con caratteristiche estetiche di eccellenza. I nostri perni per le ricostruzioni endocanalari sono bianchi o trasparenti, a base di fibra di vetro, invisibili e resistentissimi. Solo i materiali migliori, testati e selezionati per i nostri pazienti!

Protesi
Le protesi dentali hanno il compito di riabilitare le funzioni orali dei pazienti affetti da edentulia (mancanza di denti) parziale o totale, mediante la sostituzione dei denti naturali con elementi dentari artificiali. Alcuni tipi di interventi protesici possono essere utilizzati per correggere anomalie funzionali oltre che estetiche di forma, colore o posizione dei denti naturali.
Le protesi possono essere fisse, mobili od infine “fissate”.

Protesi fissa
Può essere fissata su monconi naturali (denti) preparati e limati a regola d‘arte per accoglierla oppure può essere fissata su monconi implantari, dopo l’inserimento dell’impianto.
Può essere fissata su monconi naturali (denti) preparati e limati a regola d‘arte per accoglierla oppure può essere fissata su monconi implantari, dopo l’inserimento dell’impianto.
Protesi mobile
Nonostante la stabilità della protesi sia compromessa dal graduale riassorbimento osseo e l’efficacia masticatoria sia ridotta rispetto ad altre soluzioni protesiche, la protesi totale rappresenta a tutt’oggi una soluzione più economica e meno complessa per ripristinare le funzioni orali del paziente. L’utilizzo di materiali innovativi garantisce la validità funzionale, anallergica ed estetica del risultato.

Nonostante la stabilità della protesi sia compromessa dal graduale riassorbimento osseo e l’efficacia masticatoria sia ridotta rispetto ad altre soluzioni protesiche, la protesi totale rappresenta a tutt’oggi una soluzione più economica e meno complessa per ripristinare le funzioni orali del paziente. L’utilizzo di materiali innovativi garantisce la validità funzionale, anallergica ed estetica del risultato.

Protesi fissata
Protesi in Zirconio
Presso il nostro studio facciamo tantissimo uso di Zirconio in quanto molto resistente, bellissimo e biocompatibile al 100%. In alternativa le classiche ceramiche su metallo, nei casi dove lo Zirconio non è indicato, fanno il loro lavoro. Per quanto concerne le protesi mobili utilizziamo solo resine di altissima qualità che non rilasciano nessuna sostanza chimica e sono assolutamente sicure.

Presso il nostro studio facciamo tantissimo uso di Zirconio in quanto molto resistente, bellissimo e biocompatibile al 100%. In alternativa le classiche ceramiche su metallo, nei casi dove lo Zirconio non è indicato, fanno il loro lavoro. Per quanto concerne le protesi mobili utilizziamo solo resine di altissima qualità che non rilasciano nessuna sostanza chimica e sono assolutamente sicure.
Sbiancamento
Lo sbiancamento dentale prevede l’applicazione di un gel a base di Perossido di Idrogeno o Perossido di Carbamide che, liberando Perossido di Idrogeno, puliscono il dente in profondità, sbiancandolo. Nel nostro studio forniamo sono due tipi di sbiancamento, un trattamento professionale alla poltrona con gel sbiancante e luce LED oppure un trattamento domiciliare che consta di mascherine personalizzate e gel sbiancante, da usare durante il sonno.


Trattamento alla poltrona
Il trattamento alla poltrona viene eseguito esclusivamente in studio. Si utilizzano gel con percentuali di Perossidi più elevate in grado di ottenere risultati evidenti anche con una sola seduta.
In letteratura si prevedono trattamenti che vanno da 1 fino a 6 sedute di trattamento.
Si possono usare le lampade sbiancanti che non sbiancano i denti, ma riducono solo i tempi di applicazione del gel accelerando l’effetto del perossido (plasma, led, alogene, ultraviolette, laser). Viene applicata dapprima una diga liquida per evitare il contatto tra gel e gengive, poi viene applicato il gel sui denti e “illuminato” con la lampada led per circa 45 minuti. Alla fine viene aspirato il gel ed il trattamento si conclude.
Trattamento domiciliare
Il trattamento domiciliare è una tecnica di sbiancamento che prevede l’uso di una mascherina individualizzata in cui si mette un gel di perossido di carbammide al 10%, 15%, 18%, 20% o 25% (a seconda dei casi) sotto la supervisione di un medico dentista e va indossata mentre si dorme per circa 10-15 giorni.
Non è obbligatorio indossare la mascherina durante la notte, è solo più comodo. La mascherina può essere indossata anche di giorno per almeno 6 ore. Essa è costruita in modo che il gel sia in contatto solo con i denti in modo che il gel non vada a contatto con le gengive.
Nella tecnica “A casa” la percentuale di perossido si attesta sul 10-16%, meno aggressiva perché il trattamento dura svariate ore. Funziona più lentamente e più costantemente.
In questo modo si ha la stessa efficacia dello sbiancamento “In studio”, in un tempo maggiore ma con una netta diminuzione degli effetti collaterali, soprattutto della sensibilità dentale. Nel gel sono inoltre presenti sostanze, quali il nitrato di potassio, che diminuiscono drasticamente l’ipersensibilità dentale.
Come si svolge
Il paziente si presenta presso il nostro studio dove vengono prese le impronte delle due arcate, inferiore e superiore. Successivamente vengono colate in gesso, ovvero viene costruita la bocca di gesso. Con una stampatrice a caldo viene creata la mascherina di poliuretano, rifinita con i serbatoi sulla parte anteriore per il gel sbiancante. Il paziente deve soltanto mettere una goccia di materiale in ogni piccolo serbatoio ogni sera.
Vantaggi
- L’azione sbiancante del prodotto ha luogo al di fuori dello studio odontoiatrico, con il risparmio di tempo e di lavoro del dentista, a cui consegue una diminuzione dei costi che il paziente deve supportare
- Effetto sbiancante fino a 15 tonalità
- Ridotti effetti collaterali (irritazione gengivale e sensibilità)
- Bassa collaborazione del paziente, che deve ricordarsi solo di indossare la mascherina prima di andare a dormire.
- Costi relativamente contenuti
- Comodità: scegli tu quando mettere la mascherina, se di notte o di giorno.
- È un trattamento che dà meno recidive
- Si utilizza anche per trattamenti prolungati
- Migliore controllo dell’ipersensibilità
- Può essere ripetuto nel tempo.
- È più economico
Svantaggi
- È richiesto un po’ più di tempo rispetto al trattamento “In studio”
Finito lo sbiancamento non buttate via le mascherine, ma conservatele con cura! Può essere utilizzate per fare applicazioni di fluoro, per fare “ritocchi” di una o due applicazioni dopo un paio di anni o per fare un nuovo sbiancamento dopo 2 o 3 anni!
Al successivo sbiancamento si eviterà così di riprendere le impronte e di fare nuove mascherine, risparmiando così tempo e denaro.
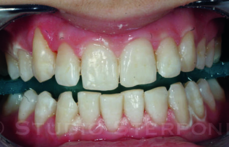
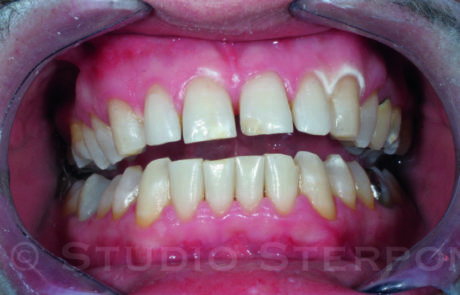
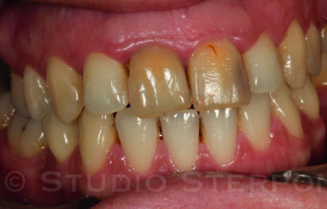
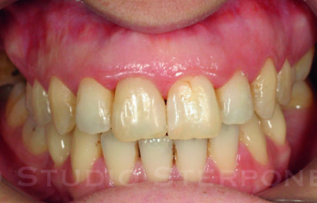
Casi Clinici
Caso 1



Caso 2




Caso 3


Cura del Bruxismo
È un disturbo poco conosciuto e sottostimato, ma che in questi ultimi anni ha aumentato notevolmente la sua incidenza nella popolazione mondiale, complice forse il cambiamento degli stili di vita in occidente.
Si può manifestare sia durante la notte (con una prevalenza intorno al 12%) sia durante il giorno (con una prevalenza fino al 30% degli individui), negli adulti e nei bambini.
La conseguenza più evidente è l’eccessiva ed anomala usura dei denti; questa si può manifestare anche con scheggiature, incrinature e rotture dei denti naturali non per cause traumatiche accidentali, ma per l’eccessivo sfregamento dei denti tra di loro.
L’usura dentale è irreversibile e se protratta per molti anni può avere anche conseguenze devastanti su tutta la dentatura.
Digrignare i denti significa mantenere i denti in contatto, ma con movimenti più o meno accentuati di scivolamento laterale o in avanti.
È il così detto “sfregamento dei denti” che può avvenire sia di giorno che di notte; in questo caso, quando avviene durante il sonno, si manifesta frequentemente anche il classico rumore.
Il serramento dei denti, invece, è il mantenimento dei denti stretti tra di loro in posizione statica senza alcun movimento eccentrico; in questo caso l’eventuale usura dentale può essere anche modesta e poco percepibile, ma il sovraccarico muscolare e/o articolare è molto elevato e quindi dannoso.
Questa manifestazione non genera il classico rumore di denti che stridono e, quando avviene di notte, il partner non si accorge di niente. I pazienti riferiscono di assumere questo atteggiamento quando sono impegnati in lavori di concentrazione o di particolare difficoltà.


È un disturbo poco conosciuto e sottostimato, ma che in questi ultimi anni ha aumentato notevolmente la sua incidenza nella popolazione mondiale, complice forse il cambiamento degli stili di vita in occidente.
Si può manifestare sia durante la notte (con una prevalenza intorno al 12%) sia durante il giorno (con una prevalenza fino al 30% degli individui), negli adulti e nei bambini.

Il bruxismo è anche considerato una delle principali cause di tensione dei muscoli masticatori con conseguente e possibile comparsa di dolore orofacciale di diversa entità e localizzazione ai vari muscoli del volto e della testa; determina un notevole affaticamento della muscolatura masticatoria non concedendole tempo per rilassarsi a causa dell’attivazione continua, soprattutto durante la notte, quando invece dovrebbero riposare.
Alcuni tipi dei così detti “mal di testa”, specialmente se ubicati alle tempie, sono imputabili alla iper-attività dei muscoli temporali, in quanto muscoli masticatori; anche i muscoli del collo e poi delle spalle possono essere coinvolti secondariamente.
Altre strutture coinvolte dal sovraccarico muscolare sono le articolazioni temporo-mandibolari, (quelle articolazioni che ci fanno aprire e chiudere la bocca) con conseguenti difficoltà funzionali nei normali movimenti, dolori, rumori, click ecc. dovuti ad alterazioni di posizione o forma del disco articolare.
In presenza di dolore, a volte anche severo, il paziente confonde il dolore articolare con il mal d’orecchi in quanto questa articolazione è ubicata in prossimità del condotto uditivo dell’orecchio.

Bite
Per porvi rimedio presso il nostro studio costruiamo apparecchi “Bite” personalizzati, in poliuretano, partendo dall’ impronta del paziente. Si può costruire sia superiore che inferiore, di solito ne serve uno solo. È trasparente, atossico e viene normalmente utilizzato durante il sonno. È leggero, economico ed eviterà l’eccessiva usura dei denti. I nostri bite vengono realizzati con una apparecchiatura che si chiama termoformatrice: una lastra di urtano viene scaldata da questa termoformatrice per due o tre minuti dopodiché la macchina effettua il “sottovuoto”, portando a contatto la piastra con il modello in gesso dei denti del paziente: in pochi secondi la plastica prende la forma esatta della bocca del paziente, solidificandosi. Una volta indurita, il gesso viene rimosso e rimane l’apparecchio trasparente, ancora da lavorare. Tramite frese e trapani viene sagomato, lisciato, arrotondato per renderlo comodo e confortevole, pronto per essere indossato. Possono essere quindi stampati svariati tipi di apparecchi e possono anche essere usati molti tipi di materiali. Ad esempio le piastre sottili in poliuretano vengono usate per creare apparecchi di contenzione rigidi ma sottili, le piastre più spesse vengono usate per creare placche per la cura del bruxismo mentre possono essere create ance placche morbide in gomma sottile per gli sbancamenti domiciliari oppure usando materiali molto spessi possiamo creare degli apparecchi “guardia” per chi pratica sport come kickboxing, karate o pugilato, dove dobbiamo preservare la dentatura dei nostri pazienti.

Per porvi rimedio presso il nostro studio costruiamo apparecchi “Bite” personalizzati, in poliuretano, partendo dall’ impronta del paziente. Si può costruire sia superiore che inferiore, di solito ne serve uno solo. È trasparente, atossico e viene normalmente utilizzato durante il sonno. È leggero, economico ed eviterà l’eccessiva usura dei denti. I nostri bite vengono realizzati con una apparecchiatura che si chiama termoformatrice: una lastra di urtano viene scaldata da questa termoformatrice per due o tre minuti dopodiché la macchina effettua il “sottovuoto”, portando a contatto la piastra con il modello in gesso dei denti del paziente: in pochi secondi la plastica prende la forma esatta della bocca del paziente, solidificandosi. Una volta indurita, il gesso viene rimosso e rimane l’apparecchio trasparente, ancora da lavorare. Tramite frese e trapani viene sagomato, lisciato, arrotondato per renderlo comodo e confortevole, pronto per essere indossato. Possono essere quindi stampati svariati tipi di apparecchi e possono anche essere usati molti tipi di materiali. Ad esempio le piastre sottili in poliuretano vengono usate per creare apparecchi di contenzione rigidi ma sottili, le piastre più spesse vengono usate per creare placche per la cura del bruxismo mentre possono essere create ance placche morbide in gomma sottile per gli sbancamenti domiciliari oppure usando materiali molto spessi possiamo creare degli apparecchi “guardia” per chi pratica sport come kickboxing, karate o pugilato, dove dobbiamo preservare la dentatura dei nostri pazienti.







































